Ministerio de Ciencia e Innovación

Noticias

  • CIBERBBN
    Desarrollan un nuevo protocolo para optimizar el cultivo de células madre del limbo corneal
    12/01/2021
    Desarrollan un nuevo protocolo para optimizar el cultivo de células madre del limbo corneal
  • CIBEREHD
    Los pacientes con enfermedad inflamatoria intestinal no constituyen una población de riesgo para adquirir la infección por SARS-CoV-2
    11/01/2021
    Los pacientes con enfermedad inflamatoria intestinal no constituyen una población de riesgo para adquirir la infección por SARS-CoV-2
  • CIBERONC
    Describen el papel del metabolito NAD y sus implicaciones en cáncer, envejecimiento y regulacion del sistema inmune
    11/01/2021
    Describen el papel del metabolito NAD y sus implicaciones en cáncer, envejecimiento y regulacion del sistema inmune
  • CIBERBBN
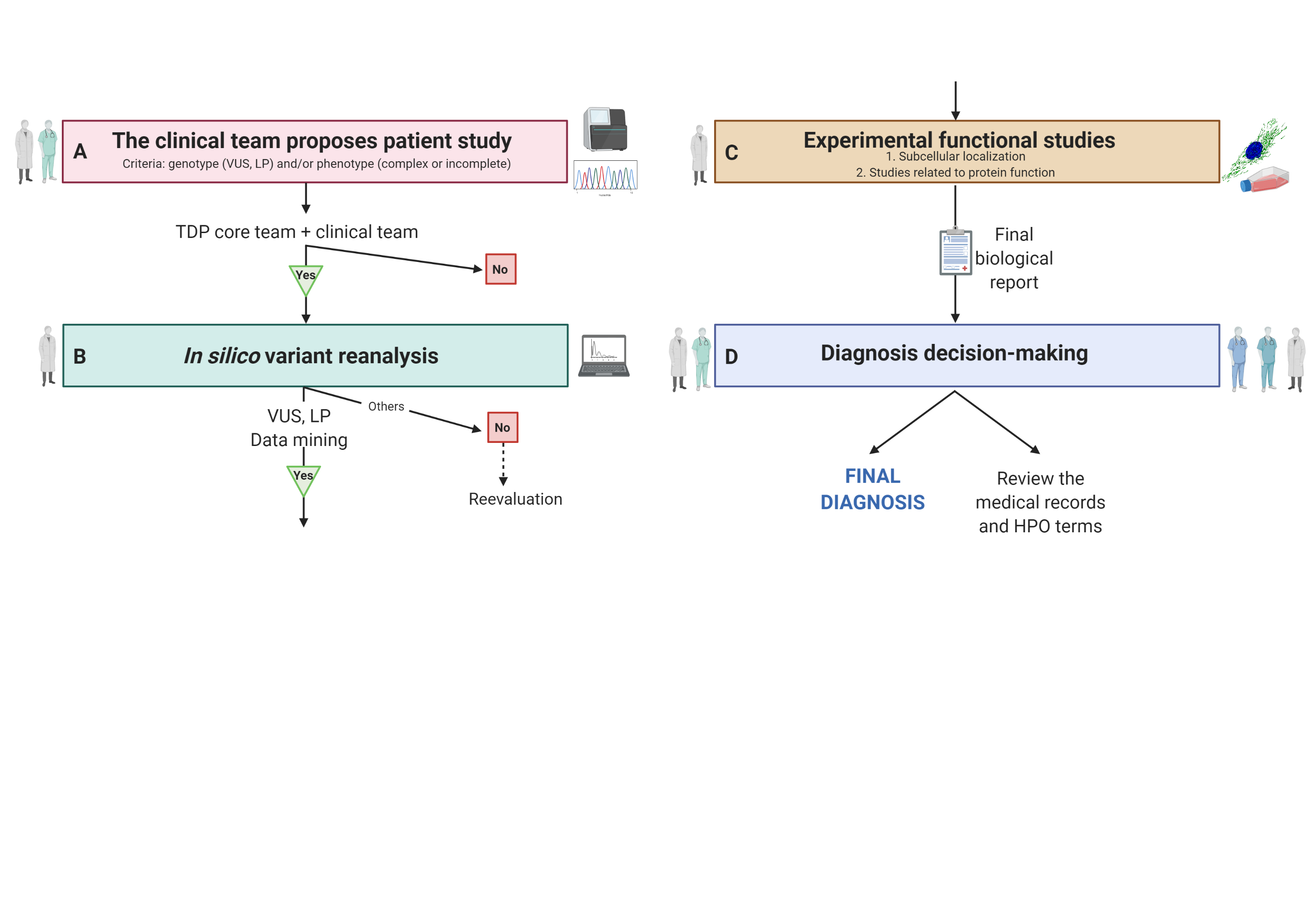
    Identifican una patología genética ósea rara a partir de métodos de secuenciación masiva
    11/01/2021
    Identifican una patología genética ósea rara a partir de métodos de secuenciación masiva
  • CIBERDEM
    Estudian el “diálogo” de las vías de reciclaje de proteínas y sus implicaciones en estrés oxidativo y envejecimiento
    11/01/2021
    Estudian el “diálogo” de las vías de reciclaje de proteínas y sus implicaciones en estrés oxidativo y envejecimiento
  • CIBERER
    Identifican una nueva variante genética responsable del defecto hematológico congénito de COX-1
    11/01/2021
    Identifican una nueva variante genética responsable del defecto hematológico congénito de COX-1
  • CIBERDEM
    Una nueva terapia basada en el gen SREBF2 para tratar alteraciones lipídicas y diabetes
    07/01/2021
    Una nueva terapia basada en el gen SREBF2 para tratar alteraciones lipídicas y diabetes
  • CIBERES
    Un estudio en macacos muestra que la nueva vacuna contra la tuberculosis MTBVAC protege mejor que la actual BCG
    04/01/2021
    Un estudio en macacos muestra que la nueva vacuna contra la tuberculosis MTBVAC protege mejor que la actual BCG
  • CIBEROBN
    Los altos niveles de triglicéridos y de colesterol remanente incrementan el riesgo de enfermedad cardiovascular en pacientes de alto riesgo
    31/12/2020
    Los altos niveles de triglicéridos y de colesterol remanente incrementan el riesgo de enfermedad cardiovascular en pacientes de alto riesgo
  • CIBERESP
    Nuevo mapa de recomendaciones para prevenir y tratar la COVID-19
    29/12/2020
    Nuevo mapa de recomendaciones para prevenir y tratar la COVID-19
  • CIBERBBN
    Identifican los genes que actúan como protectores contra las enfermedades renales
    28/12/2020
    Identifican los genes que actúan como protectores contra las enfermedades renales
  • CIBER
    EL CIBER incorporará una nueva área de Enfermedades Infecciosas
    23/12/2020
    EL CIBER incorporará una nueva área de Enfermedades Infecciosas
  • CIBEREHD
    Nuevo abordaje terapéutico para el cáncer de vías biliares
    22/12/2020
    Nuevo abordaje terapéutico para el cáncer de vías biliares
  • CIBERSAM
    Impacto del confinamiento y la pandemia COVID-19 en personas con o sin un trastorno mental
    22/12/2020
    Impacto del confinamiento y la pandemia COVID-19 en personas con o sin un trastorno mental
  • CIBERESP
    Estudio ENE-COVID: una de cada diez personas en España habría sido infectada por el coronavirus desde el inicio de la pandemia
    21/12/2020
    Estudio ENE-COVID: una de cada diez personas en España habría sido infectada por el coronavirus desde el inicio de la pandemia
  • CIBEREHD
    La prueba para medir la presión portal es menos precisa en pacientes con cirrosis avanzada por hígado graso
    21/12/2020
    La prueba para medir la presión portal es menos precisa en pacientes con cirrosis avanzada por hígado graso
  • CIBERES
    Describen los cambios en la población de cepas de S.pneumoniae causantes de enfermedad invasiva durante los últimos 25 años
    21/12/2020
    Describen los cambios en la población de cepas de S.pneumoniae causantes de enfermedad invasiva durante los últimos 25 años
  • CIBERFES
    Analizan como la potencia muscular tiene mayor relevancia clínica que la sarcopenia en personas mayores
    21/12/2020
    Analizan como la potencia muscular tiene mayor relevancia clínica que la sarcopenia en personas mayores
  • CIBERDEM
    Una forma de vitamina B3 podría proteger contra el desarrollo de arteriosclerosis
    21/12/2020
    Una forma de vitamina B3 podría proteger contra el desarrollo de arteriosclerosis
  • CIBER
    Javier Bermejo y Leocadio Rodríguez reciben ayudas a la Investigación Biomédica de la Fundación Francisco Soria Melguizo
    18/12/2020
    Javier Bermejo y Leocadio Rodríguez reciben ayudas a la Investigación Biomédica de la Fundación Francisco Soria Melguizo
  • CIBER
    El CIBER coordinará los programas de Medicina Predictiva y Medicina Genómica de la Infraestructura IMPaCT
    18/12/2020
    El CIBER coordinará los programas de Medicina Predictiva y Medicina Genómica de la Infraestructura IMPaCT
  • CIBERESP
    Una radiografía de la primera ola de la pandemia de coronavirus en España
    18/12/2020
    Una radiografía de la primera ola de la pandemia de coronavirus en España
  • CIBERES
    Los pacientes con COVID-19 críticos presentan una diseminación del genoma vírico en su sangre
    17/12/2020
    Los pacientes con COVID-19 críticos presentan una diseminación del genoma vírico en su sangre
  • CIBER
    El CIBER cierra el 2020 con sus mejores cifras en financiación externa
    17/12/2020
    El CIBER cierra el 2020 con sus mejores cifras en financiación externa