Ministerio de Ciencia e Innovación

Cuanto antes empecemos a controlar los factores de riesgo cardiovascular, mejor para nuestro cerebro

CNIC | viernes, 1 de septiembre de 2023

Las enfermedades cardiovasculares y la demencia coexisten en etapas avanzadas en muchas ocasiones; sin embargo, hay pocos estudios longitudinales en personas de mediana edad, 50 años, que hayan evaluado la interacción entre la aterosclerosis y sus factores de riesgo sobre la salud del cerebro. Ahora, una investigación realizada en el CNIC, con participación de varios equipos del CIBER, arroja nuevos datos sobre esta relación y confirma la relevancia de controlar los factores de riesgo cardiovascular tradicionales, como hipertensión, colesterol, diabetes, tabaquismo o sedentarismo, no solo para cuidar la salud cardiovascular, sino también para prevenir enfermedades como el alzhéimer.

Publicado hoy en The Lancet Healthy Longevity, la investigación muestra que la aterosclerosis -el acúmulo de placas de grasa en las arterias- y sus factores de riesgo asociados, además de ser las principales causas de enfermedad cardiovascular, están también implicados en alteraciones cerebrales típicas de la enfermedad de Alzheimer, la causa más común de demencia.

La información es muy relevante porque, asegura el Dr. Valentín Fuster, Director General del CNIC y uno de los autores principales del estudio, abre la posibilidad de intervenir sobre un trastorno modificable, como las enfermedades cardiovasculares, para prevenir el desarrollo de las demencias, para las que no existe tratamiento para muchos pacientes. “Cuanto antes empecemos a controlar los factores de riesgo cardiovascular, mejor será para nuestro cerebro”, indica el Dr. Fuster.

Asimismo, subraya el Director del CNIC, “a pesar de que todos sabemos la importancia de cuidarse y controlar los factores de riesgo cardiovascular para evitar un infarto, el hecho de que están relacionados con un deterioro de la salud cerebral puede hacer que haya una mayor conciencia de la necesidad de adquirir hábitos saludables en las fases más jóvenes de la vida”.

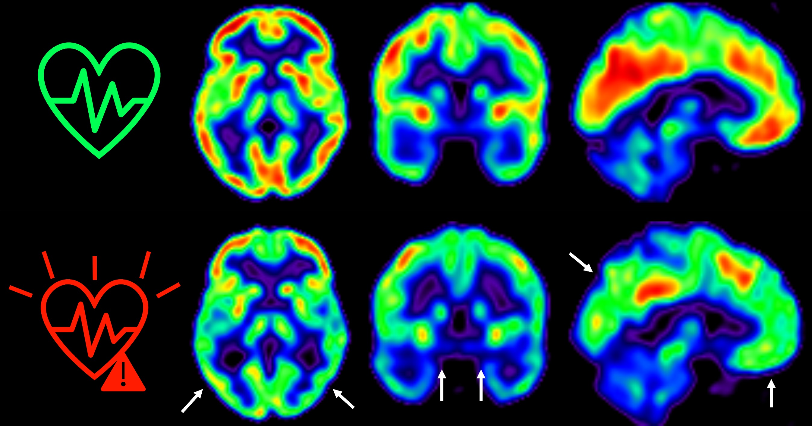
En 2021, los investigadores del CNIC descubrieron que la presencia de factores de riesgo cardiovascular y de aterosclerosis subclínica -antes de que aparezcan los síntomas- en las arterias carótidas, que son las que suministran sangre al cerebro, en individuos de 50 años aparentemente sanos que participan en el estudio PESA-CNIC-Santander, estaba asociada a un menor metabolismo de glucosa cerebral (Cortés-Canteli & Gispert et al. JACC. 2021). El metabolismo de la glucosa cerebral está considerado un indicador de salud cerebral.

El PESA-CNIC-Santander es un estudio prospectivo que incluye a más de 4.000 participantes asintomáticos de mediana edad en los cuales se está evaluando exhaustivamente la presencia y desarrollo de aterosclerosis subclínica desde el año 2010.

El equipo, liderado por los Drs. Marta Cortés Canteli y Juan Domingo Gispert, ha seguido a estos individuos a lo largo de 5 años y han encontrado que aquellos que mantienen un riesgo cardiovascular elevado durante todo este tiempo sufren una disminución aún mayor del metabolismo cerebral medido a través de técnicas de imagen como tomografía por emisión de positrones (PET).

Hemos detectado un declive metabólico cerebral tres veces mayor que el de personas que se mantienen en bajo riesgo cardiovascular”, señala Catarina Tristão-Pereira, primera firmante del artículo y becaria INPhINIT de la Fundación ”la Caixa.

La glucosa es la principal fuente de energía de las neuronas y otras células cerebrales. “Si el consumo de glucosa cerebral disminuye durante varios años puede limitar la capacidad del cerebro de lidiar en un futuro con enfermedades neurodegenerativas o cerebrovasculares”, asegura el Dr. Gispert, experto en Neuroimagen del CNIC y del Barcelonaβeta Research Center.

De hecho, en colaboración con los doctores Henrik Zetterberg y Kaj Blennow de la Universidad de Gotemburgo (Suecia), expertos mundiales en la determinación de nuevos biomarcadores en sangre, los investigadores de CNIC descubrieron que este declive metabólico se debía en parte a que ya existía daño neuronal en estos individuos. “Este dato es particularmente relevante ya que la muerte de las neuronas es un proceso irreversible”, remarca la Dra. Cortés Canteli, neurocientífica del CNIC e investigadora Miguel Servet del Instituto de Investigación Sanitaria Fundación Jiménez Díaz.

Además, el equipo descubrió que la progresión de la aterosclerosis subclínica en las carótidas durante estos 5 años se relacionaba con una disminución del metabolismo en regiones cerebrales vulnerables a la enfermedad de Alzheimer, de manera aditiva al efecto de los propios factores de riesgo cardiovascular. “Estos resultados corroboran que la detección por imagen de la aterosclerosis subclínica aporta información muy relevante”, añade el Dr. Fuster, investigador Principal del estudio PESA. “La relación entre el cerebro y el corazón es un tema fascinante y con este estudio hemos visto que empieza mucho antes de lo que se creía”, continúa.

Los investigadores concluyen que a la luz de estos resultados, “el cribado de la carótida tiene un gran potencial para identificar a las personas vulnerables a sufrir alteraciones cerebrales y deterioro cognitivo en el futuro”. Así, escriben, “este trabajo podría tener importantes implicaciones para la práctica clínica ya que apoya la implementación de estrategias de prevención cardiovascular primaria en etapas tempranas de la vida como enfoque valioso para una longevidad cerebral saludable”.

“Aunque aún no conocemos el impacto que esta disminución en el metabolismo cerebral puede tener sobre la función cognitiva, el haber detectado ya daño neuronal sí que nos indica que cuanto antes empecemos a controlar los factores de riesgo cardiovascular, mejor será para nuestro cerebro”, concluye la Dra. Cortés Canteli.

El estudio PESA está cofinanciado a partes iguales por CNIC y Banco Santander. Además, recibe financiación del Instituto de Salud Carlos III (ISCIII, PI15/02019 & PI20/00819), Fondo Europeo de Desarrollo Regional (ERDF - A Way to Build Europe) y el Fondo Social Europeo (ESF - Investing in Your Future).

Asimismo, para este estudio en particular también ha recibido financiación de la Fundación BrightFocus y una Beca Leonardo a Investigadores y Creadores Culturales de la Fundación BBVA. CNIC cuenta con el apoyo del ISCIII, el Ministerio de Ciencia e Investigación (MCIN) y Fundación Pro-CNIC. En el estudio han participado investigadores del CIBER de Enfermedades Cardiovasculares (CiberCV), del CIBER de Fragilidad y Envejecimiento Saludable (CiberFES) y el CIBER de Bioingeniería, Biomateriales y Nanomedicina (Ciber-BBN).

Artículo de referencia: 

Tristão-Pereira C, Fuster V, Oliva B, Moreno-Arciniegas A, García-Lunar I, Perez-Herreras C, Schöll M, Suárez-Calvet M, Moro MA, Garcia-Alvarez A, Fernandez-Ortiz A, Sanchez-Gonzalez J, Zetterberg H, Blennow K, Ibanez B, Gispert JD, Cortes-Canteli M. Longitudinal interplay between subclinical atherosclerosis, cardiovascular risk factors, and cerebral glucose metabolism in midlife: results from the PESA prospective cohort study. Lancet Healthy Longev. 2023 Sep; 4:e487–98. doi: 10.1016/S2666-7568(23)00134-4.